
מחקר חדש ופורץ דרך בחקר המערכת החיסונית שנערך באוניברסיטת חיפה גילה לראשונה מרכיב קריטי בתהליך "קבלת ההחלטות" של תאים לבנים המשתתפים בתהליך ההחלמה מדלקות בגוף. "התהליך שגילינו יכול לסייע בפיתוח של תרופות המתבססות על התהליכים הטבעיים שמתרחשים בגוף, זאת בניגוד למרבית התרופות הקיימות כיום שמנסות לעצור את הדלקת באמצעים מלאכותיים", אמר ד"ר עמירם אריאל מהחוג לביולוגיה באוניברסיטת חיפה, שהוביל את המחקר. המחקר פורסם בכתב העת היוקרתי European Journal of Immunology.
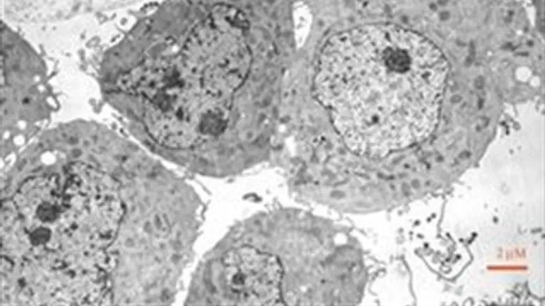
תהליך של היווצרות דלקת בגוף מתרחש כשחיידק (פתוגן) חודר לרקמה בגוף. חלק מהתאים "הלבנים" (ניוטרופילים) מתחילים להיאבק בפולש במטרה להשמיד ולסלק אותו מהרקמה. במצב נורמאלי - בו התאים מצליחים להשמיד את החיידק – הדלקת מסתיימת כאשר הם עוברים מוות תאי מתוכנן. בשלב זה נכנסים לתמונה תאים "לבנים" מסוג אחר (מקרופאגים) שתפקידם לבלוע את התאים המתים ולהחזיר את הרקמה לתפקוד נורמאלי. בעקבות תהליך הבליעה המקרופאגים מקבלים את היכולת להתחיל בשיקום הרקמה הפגועה ובשלב מסוים - שעד כה לא היה ידוע מתי וכיצד הוא מתרחש - הם עוזבים את הרקמה ונודדים לאיברים של מערכת החיסון, דרך מערכת הלימפה, שם הם מתווכים את תהליך ה"חזרה לשגרה" של הגוף ברמה המערכתית.
לדבריו של ד"ר אריאל, החשיבות הגדולה של הכרת תהליך זה נובעת מהעובדה שגם בתהליך שבו הגוף מצליח להתמודד עם הפולש קיים חשש של "ריפוי יתר" (פיברוזיס או הצטלקות): מצב בו המערכת יוצאת משליטה והגוף מרפא את המקום מעבר לצורך - מה שיכול לגרום לאובדן יכולת התפקוד של הרקמה ולעיתים אף למוות.
במחקר הנוכחי, אותו ערך ד"ר אריאל בשיתוף צוות הסטודנטים במעבדה בראשות דר' שגיא שיף-צוק, ביקשו החוקרים לבחון את השלב המרכזי בתהליך הריפוי, השלב שבו התאים הלבנים המקרופאגים מחליטים לשנות את אופי הפעילות המחלימה - משיקום מקומי של הרקמה הפגועה לויסות מערכת החיסון בקשרי הלימפה שמטרתו להאיץ את ההחלמה ברמה המערכתית.
החוקרים גילו כי למקרופאגים אלה קיים במצב רגיל "סף בליעה" של שבעה תאים - לאחר שהם בולעים שבעה ניוטרופילים הם מקבלים "רישיון" לעזוב את הרקמה. עוד התברר כי תאים אלה רגישים לקצב ההחלמה של הרקמה, כך שכשהרקמה מחלימה בקצב מזורז, תאים אלה מקבלים אישור לעזוב את המקום מוקדם יותר וכאשר הגוף מתקשה בהחלמה הם נותרים ברקמה גם לאחר שבלעו שבעה תאים. עוד התברר כי במקביל לעזיבת הרקמה עוברים המקרופאגים שינויים ברמה המולקולארית המתחייבים מהתפקיד החדש שאותו הם צריכים למלא. החוקרים אף מצאו חומרים ש"מספרים" לתא על קצב ההחלמה של הרקמה והראו שהזרקה של חומרים אלה מזרזת את המעבר של המקרופאגים לאיברי מערכת החיסון ובמקביל מגייסת מקרופאגים חדשים לרקמה הפגועה, שימשיכו את תהליך הריפוי.
במחקר הנוכחי מצאנו גורם משמעותי למעבר התאים המקרופאגים משיקום מקומי של הרקמה הפגועה להחלמה ברמה המערכתית. הבנה זו יכולה לסייע לנו לפתח תרופות ביולוגיות, שמבוססות על התהליך הטבעי של הגוף. כיום מרבית התרופות מתבססות על ניסיון לעצור מרכיב מסוים בתהליך הדלקתי, אסטרטגיה שבה נוקטים גם חיידקים ווירוסים, אולם במקרים רבים הגוף מתייחס לתרופה כאל 'חיידק' ומוצא דרכים לעקוף את התרופה וליצר תגובה חיסונית אלטרנטיבית. שימוש בתהליך ההחלמה הטבעי שאנחנו מצאנו יגרום לגוף לסיים בצורה טבעית וגורפת את התהליך הדלקתי וכך יתגבר על החסרים של טיפולים נוגדי-דלקת", סיכם ד"ר אריאל.