
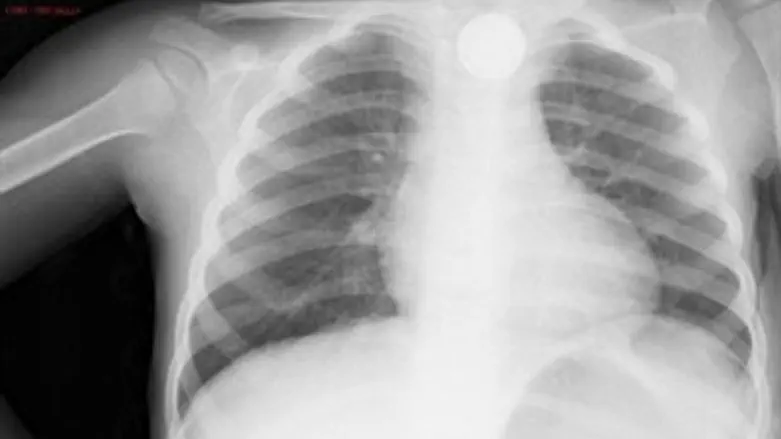
א' בת שנתיים בלעה מטבע של 10 אגורות מבלי שהוריה הבחינו בכך. בשלב מסויים החלה הפעוטה להקיא במשך כמה ימים ופיתחה חום וקושי בבליעה.
היא הופנתה לחדר המיון בסורוקה ובצילום שבוצע נצפה מטבע שככל הנראה היה בוושט במשך יותר מחודשיים וגרם לכיב משמעותי. המטבע הוצא בחדר ניתוח בפרוצדורה של גסטרוסקופיה.
ה' בת 13 חודשים בלעה סוללה של שלט רכב מבלי שהוריה הבחינו בכך. האם מספרת שהפעוטה הקיאה ושילשלה בליווי חום גבוה במשך כשבוע. בצילום שבוצע בבית החולים נצפתה הסוללה והוצאה בגסטרוסקופיה בהרדמה מלאה. היא אושפזה לאחר מכן ביחידה לטיפול נמרץ ילדים כשהיא מורדמת ומונשמת.
גם מ' בן שנתיים וחצי בלע סוללה של שלט רכב. ההורים שהבחינו בכך פנו עם בנם ישירות לחדר מיון ובצילום אוששה נוכחותה של הסוללה. הפעוט הועבר מיידית לחדר ניתוח להוצאת הסוללה שגרמה לכוויה קשה בוושט למרות שהוצאה זמן קצר לאחר הבליעה.
הפעולה בוצעה בשילוב רופא אף-אוזן-גרון וגסטרואנטרולוג ילדים. הוא אושפז לאחר הפעולה בטיפול נמרץ ילדים כשהוא מורדם ומונשם.
ר' בת שלוש בלעה סוללה קטנה ושטוחה. היא פונתה לסורוקה במצב קל. בהגיעה הסוללה היתה כבר בקיבה. במקרה זה לא בוצעה התערבות כירורגית והוחלט להמתין ואכן בצילום חוזר הסוללה התקדמה במהירות ולאחר יממה יצאה מהגוף בדרך טבעית.
ד"ר ורד פינסק מומחית בגסטרואנטרולוגיה ילדים בסורוקה: "אנו עדים בתקופה האחרונה למספר רב של פעוטות שבלעו גופים זרים. בחלק מן המקרים מדובר בנזק בלתי הפיך שנגרם לוושט. כדי להוציא את הגוף הזר אנו שולפים אותו מהוושט באמצעות גסטרוסקופ. עצם ההוצאה של הגוף הזר מהוושט מתבצעת בהקדם האפשרי אך לצערינו במקרים של סוללות לא מונעת את הסיבוכים העתידיים כתוצאה מבליעתו, סיבוכים שיכולים להתרחש אחרי כשבועיים-שלושה מיום הבליעה. כך למשל, הסוללה מפרישה חומרים שגורמים לדלקת קשה בוושט. במנגנון נוסף, עצם נוכחות הסוללה בוושט יוצרת מצב של סגירת מעגל חשמלי ומשנית לכך עלולה להגרם פגיעה קשה ברקמות שמסביב לוושט כמו לכלי דם סמוכים ולקנה הנשימה. פגיעות שכאלה יכולות להוות סכנת חיים".
מוסיפה ד"ר פינסק, "ילדים קטנים נוהגים לחקור את העולם דרך הפה והם מכניסים לפיהם כל דבר. על כן, יש להרחיק מהם חפצים קטנים, כגון: מטבע, סוללה קטנה, כפתור, חרוז גולה וכן חפצים חדים כמו סיכות ומחטים. יש לאפשר לילד לשחק רק בצעצועים המתאימים לגילו ולהרחיק מילדים עד גיל שלוש שנים צעצועים המכילים חלקים קטנים".
