
רופאי בית החולים רמב"ם כבר מורגלים בטיפול בילדים הבולעים עצמים זרים שונים ומשונים.
אולם, מצב כזה שבו מגיעים לחדר הטיפולים, יום אחר יום, שני פעוטות מאזור הצפון האחד בן שנה ושלושה חודשים והשנייה בת 11 חודש, אחרי שבלעו סוללות בגדלים שונים, הפתיע גם אותם.
ביום שלישי הובהל פעוט בן 15 חודשים אל מיון ביה"ח "רות" לילדים ברמב"ם, אחרי שהוריו דיווחו כי הוא בלע סוללה. מתוצאות בדיקות הדימות שנעשו בביה"ח עלה כי בשל גודלה של הסוללה, היא נתקעה בוושט, מצב המעמיד את הפעוט בסכנת חנק.
תחת טשטוש, הוציא צוות יחידת גסטרו ילדים את הסוללה בתהליך הנקרא גסטרוסקופיה. התהליך כולל את שליפת העצם הזר באמצעות סיב אופטי מונחה מצלמה זעירה. הטיפול הסתיים בהצלחה, הפעוט נותר להשגחה בביה"ח, ושוחרר אתמול לביתו.
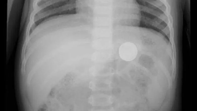
יום קודם להגעתו של הפעוט, הגיעה אל מיון ביה"ח "רות" לילדים ברמב"ם פעוטה נוספת, בת 11 חודשים עם תלונה דומה. לדברי ההורים הפעוטה בלעה סוללה קטנה, ומהבדיקות שנעשו בביה"ח עלה כי העצם הזר הגיע ישירות אל קיבת הפעוטה. בהליך זהה שלפו הרופאים את הסוללה מקיבתה של התינוקת בהצלחה.
פרופ' רון שאול, מנהל יחידת גסטרו ילדים ברמב"ם, מסביר כי בליעת סוללות טומנת בחובה סכנה כפולה.
"מדובר בעצם זר שיכול לגרום לכמה בעיות", הוא אומר, "סוללה מכילה חומרים מסוכנים ובמקרה של בטרייה ישנה או פגומה, אלו יכולים לדלוף ולגרום לחור בוושט, כוויה מקומית בקיבה ונזקים מקומיים נוספים. מעבר לזה, בשל תכונותיה של הסוללה, היא עלולה להחליק במהלך הניסיון לשלוף אותה מגוף המטופלים ולהגיע למקומות מסוכנים יותר. לשם כך עשינו שימוש ברשת זעירה כדי לאחוז את הסוללות היטב ולמנוע את סכנת ההחלקה".