
נער בן 16 מאושפז במצב קשה ביחידה לטיפול נמרץ לב במרכז שניידר לרפואת ילדים, לאחר שימוש בסיגריות אלקטרוניות.
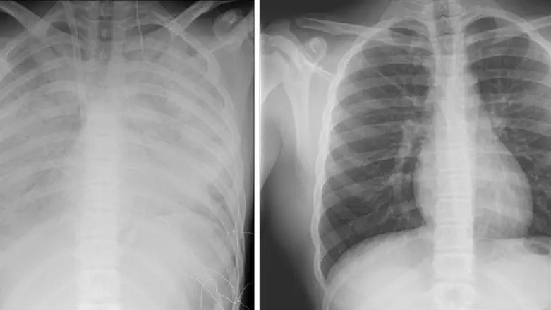
הנער הועבר למרכז שניידר מבית החולים קפלן, במצב של קריסת ריאות. מבירור רפואי מקיף שערכו בבית החולים קפלן עלה כי מצבו של הנער נגרם, ככל הנראה, כתוצאה מעישון של סיגריות אלקטרוניות.
הנער נמצא כעת ביחידה לטיפול נמרץ לב שהוא בהכרה, אך מחובר למערכת אקמו המחליפה את פעילות הלב והריאות.
אמו של הנער מסרה כי היא מבקשת להתפלל לשלומו ומייחלת לכך שיתאושש ויחזור לעצמו, ומבקשת מכל ההורים להיות עירניים לנושא ולאסור על ילדיהם להשתמש בסיגריות אלקטרוניות, כדי שלא להגיע למצב הנוראי שבו הם נמצאים כרגע.
לדברי פרופ' עובדי דגן, מנהל היחידה לטיפול נמרץ לב: "הנער התקבל ליחידה לטיפול נמרץ לב במצב קשה מאד כשריאותיו אינן מתפקדות, והוא זקוק לתמיכה מלאה של מכשיר אקמו. אנו מטפלים בו ומקווים מאד לשיפור במצבו בימים הקרובים. הנזק שנגרם, ככל הנראה, מעישון של הסיגריות האלקטרוניות הוא נזק עצום. אנו קוראים לכל ההורים, מנעו את המקרה הבא".
ד"ר חבצלת ירדן בילבסקי, מומחית בפרמקולוגיה קלינית וטוקסיקולוגיה במרכז שניידר מוסיפה כי סיגריות אלקטרוניות עלולות לגרום נזק חמור אף יותר מסיגריות רגילות. ''בספרות הרפואית קיימים דיווחים רבים על מחלת ריאות משנית לשימוש יתר בסיגריות אלקטרוניות, עד כדי קריסת הריאות. בחלק מהמקרים חומרי המילוי נרקחים באופן עצמאי עם חומרים מסוכנים שונים, מה שמעלה את הסיכון לנזקים חמורים עוד יותר, ובמקרה הזה - לקריסת ריאות של נער בן 16. אני קוראת לבני הנוער ולהורים להיות עירניים וממליצה להתרחק מסיגריות אלקטרוניות ובוודאי לא להשתמש בחומרים מסוכנים שנרקחים עצמאית''.
