
צעיר כבן 20, תושב העיר החרדית ביתר עילית, הגיע למיון כללי ב’שערי צדק’, כשהוא מלווה בהוריו ואשתו העומדת לפני לידה.
התלונה: מגרנה חזקה מאוד, עד כדי ערפול הכרה ובחילות קשות. בני המשפחה הסבירו לרופאים, כי הצעיר סובל כבר מספר שנים ממגרות וכי במשפחה ידועה רגישות תורשתית וכמה בני משפחה סובלים ממיגרנות.
צוות הרופאים הבכירים של היחידה הנוירולוגית והנוירוכירורגית, בראשותו של ד”ר נבו מרגלית והרופא התורן שהיה כונן במשמרת ד”ר ליאור גונן, הוזעקו למיון ובבדיקה ראשונית נראה היה כי לא מדובר במקרה רגיל של מגרה.
במהלך ההמתנה במיון, איבד הצעיר את הכרתו ואולם מאוחר יותר התאושש והובהל לצילום סיטי דחוף.
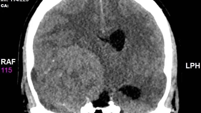
הצילום לא הותיר כל ספק: הצעיר סובל מגידול ענק מימדים בראשו וזה מה שיוצר את הלחץ הבלתי נסבל עד כדי איבוד הכרה. “לרגעים אחדים היה נראה לנו שאנו מאבדים אותו חלילה ונערכנו לכל תרחיש שיתפתח”, אומר ד”ר נבו מרגלית.
הרופאים נערכו לניתוח חירום להצלת חייו של הצעיר, ובינתיים ייצבו את מצבו, כדי שניתן יהיה להכניסו לניתוח ראש בדחיפות.
בני המשפחה עסקו במקביל בהתייעצויות על בני משפחה ויועצים רפואיים, ואולם הרופאים הסבירו להם שהמצב אינו מאפשר להשתהות וכי נדרש להריץ את הצעיר לניתוח בהול.
ואכן, הצעיר הובהל לניתוח דחוף, במהלכו הוצא מראשו גידול ענק “בגודל של אשכולית”, וכעבור מספר שעות בחדר התאוששות התעורר והחל לתקשר עם סובביו.
הצוות הרפואי כמו גם בני המשפחה התרשמו מההתקדמות המהירה. גם מנכ”ל המרכז הרפואי שערי צדק פרופ’ עופר מרין הגיע לבקר את הצעיר ולחזות בפלא.
הוריו של הצעיר סיפרו: “מזה כמה שנים שהוא מתלונן על כאבי ראש ונאמר לנו שזה מגרנה. לפני כשנה וחצי בוצע לו סיטי ראש שיצא תקין ונקי לחלוטין ועל כן ההסבר היחיד היה מגרנה. מסתבר שבחודשים האחרונים בנוסף למיגרנה ממנה סבל, התפתח גידול בראש שהוסיף כאב ולחץ כבד ביותר.
“באותו הבוקר הבנו שהפעם מדובר בהתקף קשה ביותר וכי יש לגשת לטיפול רפואי. ראינו אותו מעורפל הכרה ורצינו להקל עליו. ההבחנה המהירה של הרופאים והניתוח המהיר שבוצע לו פשוט הצילו את חייו ממוות. אנו אסירי תודה למנהל נוירוכירורגיה ד”ר נבו מרגלית וצוות הרופאים המומחים שבמחלקה על הטיפול המהיר והמוצלח”.
כחלוף 3 ימים השתחרר הצעיר לביתו כשהוא מתאושש והולך על שתי רגליו כאחד האדם – והמשפחה נערכת בקרוב לשמחה מושלמת לאחר שהצעיר ואשתו יהפכו להורים במזל טוב.