האסון ביפן: מי מצוי בסכנת חיים?
משרד הבריאות בישראל עוקב אחר המתרחש ביפן ונמצא בקשר רצוף עם ארגון הבריאות העולמי וכן עם שגרירות יפן.
משרד הבריאות בישראל עוקב אחר המתרחש ביפן ונמצא בקשר רצוף עם ארגון הבריאות העולמי וכן עם שגרירות יפן.
יד שרה התקינה על גגות מרכזי השירותים שלה בירושלים ובבאר שבע מערכות סולריות לייצור חשמל.

שיטה חדשה שפותחה באוניברסיטת סן-דיאגו מאפשרת לחזות מראש את הסיכוי לחלות במחלת הסרטן הנפוצה בעולם - סרטן הריאות.

המזרח התיכון לא מוגן מפני מכות צונאמי ובעברו לא מעט פגיעות שכאלה ברמות שונות. מה ניתן לעשות? כמעט כלום, רק לנסות ולהתריע.
מחקר חדש מעלה כי המערכת מקצרת את משך הזמן מאירוע המצריך פעולה קלינית עד לקבלת ההחלטה הקלינית ב-79%.

צחוק גדול מהבטן יכול לסייע לרגל להירפא אפילו מכיבים, טוענים המומחים. הצחוק מזיז את הסרעפת ועוזר להחלמה.

מבית החולים אסף הרופא נמסר, כי לא חל שינוי במצבו של השר לשעבר בנימין (פואד) בן אליעזר וכי הטיפול בו נמשך כמתוכנן.

במרכז הרפואי בתל אביב נחנך היום (רביעי) בניין הלב ע"ש סמי עופר. הבניין החדש מעוצב בצורת קוביית זכוכית.
משרד הבריאות סיים הערב (רביעי) את המתת העופות בקיבוץ ראש צורים שבגוש עציון. הדגימות שנלקחו משאר הלולים באזור נמצאו תקינות.

המחלקה לפיזיותרפיה במשרד הבריאות מתריעה, כי טלטול תינוקות עלול לגרום לנזק מזערי במוח, גם אם לא נראה בטווח המיידי.

חוקרים באוניברסיטת תל-אביב פיתחו שיטה שמאפשרת לגלות עתיקות בעומק של עשרות מטרים מבלי לחפור.

השר להגנת הסביבה: "מערכת הביטחון שולטת על מחצית ממדינת ישראל. לא אתן לה להיות אקסטריטוריאלית מבחינה סביבתית".

בדיקות שנערכו בבית החולים שערי צדק ללולן שעבד בלול בראש צורים בו התגלתה שפעת העופות ולא חש בטוב, גילו כי הוא איננו סובל משפעת.

טופס 17, מכתב שחרור, הוראות סיעודיות וטפסים נוספים, יעברו מהעולם בצורתם הנוכחית ויועברו באופן ממוחשב ליעדם.

משרד הבריאות מדווח כי דגימות נלקחו מלולן שעבד בלול הנגוע בשפעת העופות בגוש עציון, לאחר שלא חש בטוב. התוצאות בשעות הקרובות.

בעקבות התפרצות שפעת עופות בלול תרנגולי הודו בראש צורים, בגוש עציון, הנחה משרד הבריאות את קופות החולים ובתי החולים להגביר ערנות.
סוס מת אתמול בכפר ערערה ממחלת הכלבת. הסוס היה בסביבתו של כלב שנמצא נגוע בכלבת. מי שהיה במגע עם הסוס מתבקש לפנות ללשכת הבריאות.

מומחה מטעם סוכנות נאס"א טוען שמצא מאובנים של חיידק על מטאוריט שהגיע לכדור הארץ מהחלל החיצון.
לראשונה בישראל הושתל בימים אלה במרכז הרפואי העמק בעפולה נוירוסטימולטור "ריסטור סנסור"- תוצרת מדטרוניק, לטיפול בכאב כרוני חמור.

מהמרכז הרפואי אסף הרופא נמסר, כי מצבו של ח"כ בנימין בן אליעזר נמצא במגמת שיפור, וכי אישפוזו במח' טיפול נמרץ נובע מצרכי האבטחה.

שר החינוך, גדעון סער, הודיע היום (חמישי) על זכייתו של פרופ' יוסף שילה בפרס ישראל בתחום חקר מדעי החיים לשנת תשע"א.

ניתוח לאחר המוות ללא ניתוח פותח באוניברסיטת לייקסטר. סורק זעיר מוחדר דרך הצוואר במקום הניתוח. בדיקת לב מקיפה עדיין בלתי אפשרית.

מילדות שמענו כי החיוך תורם לבריאות. מחקר אחר מוכיח כי אין זה תמיד נכון וכי לא כדאי להפריז בחיוכים מאולצים.

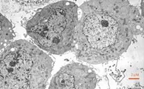
מחקר חדש באוניברסיטת חיפה גילה את תהליך קבלת ההחלטות של תאים המשתתפים בתהליך החלמה מדלקות בגוף: בליעה של 7 תאים שמתו.

אחרי שמונה שנות מאבק עלה בידי ח"כ אורלב להעביר במליאת הכנסת את חוק הקמת מאגר מח העצם הישראלי.

במכתב דחוף שנשלח לראש הממשלה בתפקידו כשר הבריאות קובע המבקר, כי המשך הזנחת מערכת הבריאות עלול לסכן חיים בתוך זמן קצר.

בניסיון לגשר על הפער בין עמדותיהם של הרופאים לעמדת האוצר במו"מ על השכר מציע סגן שר הבריאות "דיל": שעון נוכחות תמורת שר"פ.

במשרדי הבריאות והגנת הסביבה חוששים מהמעבר לדור הבא (4) של הרשתות הסלולאריות ומהשלכות הקרינה ברשתות אלו.

הממשלה אישרה פה אחד את תוכנית סגן שר הבריאות לחיזוק מערכת הבריאות בישראל בעלות של כחצי מליארד ש"ח.

מנכ"ל משרד הרווחה והשירותים החברתיים, נחום איצקוביץ, חתם על נוהל חדש, המרחיב את השירותים שניתנו עד כה לעיוורים ולקויי ראייה.

עובדי משרד הבריאות הודו היום, במסגרת הסדר טיעון, בבית משפט השלום פתח תקווה בעובדות כתב אישום מתוקן בפרשת רמדיה.

שוב עלה לכותרות הקשר בין שימוש בסלולרי לסרטן. פרופ' פניג, מנהל יחידת ההקרנות בבלינסון, הסביר לערוץ 7, מדוע דווקא אין קשר.

מה הקשר בין ינשופים להתחממות כדור הארץ? מחקר חדש בפינלנד טוען: הינשופים משנים צבעם עקב ההתחממות.

אם הירקות, העגבניה, עולה על העצים... עץ עגבניות שמקורו בהרי האנדים כבר כאן. כעת עובדים על ייצור מסחרי. "בורא פרי ה... עץ?"

עוד תיאוריה שהיינו בטוחים בה מתנפצת: מתיחות לפני ספורט לא מבטיחות הגנה מפציעות. למרות זאת לא מומלץ להפסיק להתמתח. למה?

הזוכים בפרס העיצוב הקונספטואלי המציאו איך לשדרג... מקל הליכה פשוט. אז איך הצליחו להתגבר על חוסר הנוחות שבמקל הליכה.
"מרכז חירום אזורי" אשר יכלול מרכז מתנדבים, נקודת הזנקה לאמבולנס, כבאית, חדר תרגול, ומחסן ציוד, נחנך השבוע בישוב 'תל ציון'.
גם רפואי וגם סביבתי. שתל המיועד לחיזוק האחיזה של בסיס האגודל הושתל בוגופה של חולה בבי"ח קפלן. החידוש: השתל מתכלה לאחר שפעל.

מבטיחים לנו שגשוג בזכות קידוחי הנפט, אבל מסתבר שיש להם גם השלכות סביבתיות קשות ובישראל אין עדיין תכנית להתמודדות עם התופעה.

באוצר דוחים על הסף את דרישותיהם של הרופאים, וקובעים כי כניעה לדרישות אלו תמוטט את מערכת הרפואה הציבורית בישראל.

ועדת העבודה, הרווחה והבריאות של הכנסת אישרה לקריאה שניה ושלישית, כי על אריזות התרופות יכתבו אזהרות גם ברוסית.

מינהל מקרקעי ישראל ומשרד התשתיות הלאומיות יפרסמו מכרז לשיווק קרקע להקמת מיזמים סולארים ליצור חשמל בתחום המועצה האזורית רמת נגב.
הרב רפאל הלפרין, מבעלי רשת אופטיקה הלפרין, פונה היום (ראשון) לבית החולים שיבא ב'תל השומר', לאחר שהתמוטט בביתו.
צבע המאכל קרמל המוכר במפעלי קוקה קולה ופפסי עלול לגרום להתפתחות תאים סרטניים. מדענים קוראים לחברות להפסיק את השימוש לאלתר.
מחקר קובע: אם תאמינו שהתרופה לא תעזור לכם היא אכן לא תעזור. מסתבר שהחולה עושה על עצמו מניפולציות...

לראשונה: יצרני התרופות ידרשו להוסיף כיתוב ברוסית על גבי התרופות גם על אריזה חיצונית ובעלון. המטרה: למנוע הרעלות.

מה עושים כשיש כאבי גב תחתון? האם צילומי רנטגן והדמיית CT או MRI הם התשובה? ד"ר שמואל גבעון, ד"ר דנה פלורנטין משיבים.
איש העסקים ארקדי גאידמק, ערך סיור בבית החולים 'ביקור חולים' בירושלים. מקורביו סיפרו כי ברצונו לא לאפשר את סגירתו של בית החולים.
מי שנהנה בנתיים הם העופות הדורסים המרימים את הפגרים וגורמים לנזק והפצת מחלות. ומי סובל בנתיים? התושבים והסביבה.

מחקר חדש מגלה כי תרופה חדשה שמקורה בכורכום תוכל לתקן נזקים הנגרמים לגוף מהתקפי שבץ.
בכיר מנתחי הלב בישראל, פרופ' ארם סמולינסקי, מספר לערוץ 7 על הניתוח המסובך בו ניצלו חייו של צעיר בן 19 שהתגייס לצה"ל למרות מצבו.

משרד הבריאות פרסם היום כי בתקופה הקרובה יכנס לתוקפו תפקיד חדש במערך הבריאות - סייעת לאחות, אשר תסייע לטפל בחולים.

אובדן שמיעה הדרגתי נפוץ בעיקר עם העלייה בגיל, אבל אצל חלק מן האנשים הוא עשוי להפוך גם לאלצהיימר או לדימנסיה, כך מגלה מחקר חדש.
בלאגן, אי סדר, העדר נהלים וחורים בחוקה משאירים פסולת של חומרים מסוכנים בתוך ריכוזי אוכלוסיה. הח"כים מזועזעים ומבטיחים לפעול.

שלמה ביגון נאלץ לעבור ביום ההולדת ה- 100 שלו ניתוח מורכב להחלפת מפרק הירך לאחר שנפל ברחוב. השבוע הוא כבר מחייך.
ועדת העבודה אישרה היום לקריאה שנייה ושלישית הצעת חוק לפיה תתמוך המדינה במאגר תורמי מוח עצם בסכום של לפחות 2.5 מיליון שקלים בשנה

כלב מת ביום שישי האחרון בכפר ערערה ממחלת הכלבת, כך נמסר ממשרד הבריאות. מדובר בכלב זכר, בן שנה, בינוני/גדול, בצבע שחור- לבן.

לדבריהם, המילגה עומדת על סכום ירוד של 3330 ₪ בעוד במלגות במוסדות אקדמיים מקבילים המילגה מגיעה לממוצע של כ-5000 ₪

ד"ר יורם ליוור, מנכ"ל המרכז הרפואי 'מעיני הישועה' בבני ברק, הודיע כי יפרוש מתפקידו כבר בזמן הקרוב, לאחר 8 שנים בתפקיד.
אישה בשנות ה-30 לחייה, שנדבקה בחיידק הטורף לאחר שילדה, מתה במהלך סוף השבוע בבית החולים סורוקה בבאר שבע.
