המנתח נתקע בשלג, מנהל מחלקה החליף אותו
כירורג הילדים נתקע בשלג, מנהל מחלקת הכירורגיה למבוגרים בהדסה הר הצופים ניתח את הילד שנזקק לניתוח דחוף.
כירורג הילדים נתקע בשלג, מנהל מחלקת הכירורגיה למבוגרים בהדסה הר הצופים ניתח את הילד שנזקק לניתוח דחוף.


מנהל ביה"ח ברזילי פרופ' חזי לוי מתייחס למצב מערכת הבריאות ואומר כי היה נכון תומך בדחיית מתווה במתנגד לבידודים.

מדובר במערכת המאפשרת למטופל שחרור מעיסוק במדידת רמות הסוכר והזרקות אינסולין.

הודעה משותפת לראש הממשלה, שר הבריאות ושר האוצר:
במהלך דיון בכנסת העידה מוקדנית מד"א כי היא מנתקת טלפונים לכונני איחוד הצלה' שהיו בעבר במד"א. "יפטרו אותי".

נפתחו היומנים לזימון תורים לחיסון הרביעי נגד נגיף הקורונה לקבוצות בסיכון בגילאי 18 ומעלה.

ד"ר ענת אנגל, מנכ"לית בית החולים וולפסון בחולון, מספרת על הקשיים בבתי החולים נוכח התפשטות הגל החמישי.

מנכ"ל משרד הבריאות אישר את מתן המנה הרביעית רק למי שסובלים ממחלות רקע וגורמי סיכון לתחלואה קשה.

קופת חולים שתחרוג ממכסת הבדיקות היומית תספוג קנס. במשרד הבריאות רוצים שמרבית האוכלוסיה תיבדק בדיקת אנטיגן.

יו"ר ארגון רופאי המדינה לראש הממשלה: מצוקת כוח האדם בבתי החולים כבדה".

העמותה קוראת לשקול מחדש את ביטול מתווה הבידודים במערכת החינוך לאור המידע על הסיכון לילדים מזן האומיקרון.

מנהלי בתי חולים התריעו בפני מנכ"ל משרד הבריאות: "בקרוב לא נוכל לתת טיפול סביר". דו"ח אמ"ן: התמותה מזנקת פי 40.

אחד מהנדבקים הוא רופא בכיר, שלא התחסן על רקע אידיאולוגי. מספר החולים במצב קשה ממשיך לעלות.

חשבון הוואטסאפ של משרד הבריאות שדרכו מבוצעות החקירות הושעה לאחר שהפר את תנאי השירות.

שירת חדש ידאג לקידום תורים וטיפולים רפואיים והענתקם במהירות וללא המתנה כולל ליווי אישי בהגעה לבית החולים.

מנכ"ל משרד הבריאות בביקור בביה"ח אסותא אשדוד: "בית החולים במתכונתו הנוכחית לא נותן מענה נדרש לאוכלוסייה".

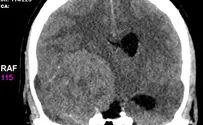
הצעיר הוכנס לניתוח ראש חירום כאשר נשקפת סכנה מיידית לחייו. "לרגע חששנו שאנו מאבדים אותו והוצא ממנו גידול ענק".

בעקבות העומס, 26 סטודנטים לסיעוד ויתרו על חופשת הסמסטר ובאו לסייע בבית החולים אסותא באשדוד.

פרופ' רן בליצר מבהיר כי גל ההדבקה קרוב לסיומו אך האפקט שלו עוד רחוק להסתיים. "עוד נכונו לנו ימים מורכבים".

בשל הזינוק בתחלואה, בקבינט המומחים מתריעים: "קיים פוטנציאל לעומס כבד ולפגיעה בטיפול".

ועדת הבריאות של הכנסת עסקה בהחלטות הקשורות לסל הבריאות ובמימושן.

ד"ר דורית ניצן מנהלת חירום בארגון הבריאות העולמי על ההכרזה כי האומיקרון יסיים את המגפה: "אנחנו רואים קרן אור".

המכשיר מציל החיים כמעט לא נמצא בפריפריה. התפוצה בצפון: אחד לכל חצי מיליון תושבים; בתל אביב: אחד לכל 50 אלף.

ד"ר דותן, גינקולוג באיכילוב, סיפר על שרשרת האירועים שקדמה לתקרית שבה הותקף באלימות על ידי בן זוג של מטופלת.

המנה הרביעית מקנה מוגנות גבוהה פי 3 ומעלה כנגד מחלה קשה לעומת מחוסני מנה שלישית.

ח"כ עידית סילמן: "למדנו על חסמים שמונעים את הטיפול מנשים רבות - הוועדה תפעל לכך שהם יוסרו".

מנהל מחלקת הקורונה בביה"ח הדסה פרופ' דרור מבורך העריך כי גל האומיקרון עדיין אינו מאחורינו.

במשרד הבריאות ממשיכים לדון בשאלה האם יש צורך בתו, לאור גל ההדבקה הגדול שלא פסח על מחוסנים.

דו"ח אירופי חושף את ההשפעה הדרמטית של החיסונים: ישראל במקום השלישי ביבשת במניעת מוות באמצעות החיסון.

מחקר חדש מצא מוטציות בסרטן לבלב שמעודדות התפתחות גרורות בכבד.

האם לבטל את התו הירוק? מה משמעותה של בדיקת האנטיגן והאם הקורונה תצא מחיינו בשלב מסויים? ד"ר אורן קובילר משיב.

רופא בכיר חשף בשיחה עם ערוץ 7 כי לצורך קבלת התרופה יש פרמטר המתעדף את מתנגדי החיסונים על פני מי שהקפידו להתחסן

שר הביטחון גנץ יאשר בממשלה כי מאות חיילי צה"ל יסייעו למאושפזי בית בקהילה כדי להקטין את העומס על בתי החולים.

ד"ר מורן שפלר-גל מביה"ח קפלן: "אנחנו רואים את המצוקה יום יום ואת המחיר הכבד של הבידודים".

המדרסים יכולים לשפר את איכות החיים ולסייע לנו להתנהל.רוצים לשפר את איכות החיים שלכם ולמנוע בעיות ברגליים ובגב? מדרסים הם התשובה

רופאת משפחה בכירה: השפעת השנה קשה הרבה יותר מבעבר. אנשים עסוקים בקורונה ושוכחים להתחסן נגדה.

ד"ר נוי כהן מבית החולים אסותא אשדוד: "ראיתי מקרוב את מחיר הבידוד על הילדים , שמסכן אותם יותר מהאומיקרון".

כתרים לשיניים מאפשרים להחזיר את מערכת השיניים לתפקוד מלא ותקין גם לאחר אובדן של שיניים, ומחזיר את החיוך להיות מושלם

במשרד הבריאות נערכים לביטול הבידוד לילדים ומגבשים מתווה שלפיו יבצעו בדיקות במקום בידודים אוטומטיים.

אישה בת 69 עברה טיפול להעלמת קמטים בהרדמה חלקית. בעיצומו של ההליך היא לקתה בדום לב ופונתה לביה"ח תוך החייאה.

ילדים בגילאי 5-11 אשר חוסנו בשתי מנות בחודשיים האחרונים – מוגנים פי 2 יותר מאשר לא מחוסנים כלל.

מאז ספטמבר דווחו במצטבר 4,143 חולים מאושפזים מאומתים לשפעת, ביניהם 1,036 ילדים ובני נוער מתחת לגיל 18.

קרוב למחצית מהתרופות שנכנסו לסל מיועדות לתחום האונקולוגיה. "מקווים בשנה הבאה נוכל להביא תקציב גבוה יותר לסל".

ועדת סל הבריאות החליטה לתעדף ניתוח לשינוי קול לטרנסג'נדרים על פני תרופות מצילות חיים.

פרופ' גליה רהב על התפשטות התחלואה: "אני רואה אצלנו בביה"ח עוד ועוד מאושפזים מקורונה".

לפי המחקר שהוביל פרופ' מייקל אדלשטיין התסמינים הנפוצים הופחתו ב-50% עד 80% במחוסנים שנדבקו.

מנכ"ל משרד הבריאות: מי שיצא חיובי בשתי בדיקות ביום הרביעי והחמישי, יכול להפסיק להבדק ולצאת ביום השביעי מבידוד"

במשרד בוחנים את המתווה לפיו ילדים ללא תסמינים ימשיכו ללמוד במסגרות החינוכיות.

לראשונה בארץ בוצע זילוח כבד עם מכונה טרם השתלה. הכבד המשופר נקלט בהצלחה והחולה מתאושש מהניתוח.

אחרי יומיים שבהם לא התפרסמו הנתונים, התברר ששוב נשברו שיאי הדבקה. מספר המאושפזים קשה ממשיך לעלות ומתקרב ל-500.

פרופ' יונתן הלוי עדכן בתחזיות על גל האומיקרון ועל ההצעה שהצוותים הרפואיים המאומתים ימשיכו לעבוד.

פרופ' סלמאן זרקא נפגש עם פרופ' עידית מטות לאחר הפוסט החריף שפרסמה נגד משרד הבריאות והתגובה הקשה של השר הורוביץ

בית החולים יפעיל בשלב הראשון את השירות בשעות היום והוא צפוי להרחיב אותן בהתאם לביקוש.

חברת "מודרנה" הודיעה כי בתוך שנתיים לכל היותר תשווק חיסון אחד משולב לשפעת וקורונה: "עוד לפני חורף 2023".

מחקר בינלאומי בראשות אוניברסיטת בן-גוריון העלה כי תזנה מסוג זה עשויה להאט את הניוון הטבעי של מוח הקשור לגיל.

ד"ר אורלי גרינפלד מתייחסת לטענות של פרופ' עידית מטות ומסבירה כיצד להפוך את בדיקת האנטיגן לאפקטיבית יותר.

פרופ' נחמן אש מסביר את ההחלטה לקצר את ימי הבידוד לחמישה: "מנסים למצוא שביל ביניים ולדעתי הוא הנכון".

משרד הבריאות יאפשר למאומתים שמוגדרים "עובדים חיוניים קריטיים" לצאת לעבודה תחת שורה של מגבלות.

תוצאות ראשוניות ממחקר שמוביל המרכז הרפוא שיבא העלו כי אמנם רמת הנוגדנים עולה, אך יעילותם נגד האומיקרון פחותה.

פרופ' סלמאן זרקא ענה לטענת פרופ' עידית מטות לגבי המאושפזים במצב קשה והתייחס למחסור בצוותים רפואיים.
